빠른 상담신청

[자세히 보기]
메뉴펼침 버튼
상단헤더 미니배너이미지

SEOUL HI DENTAL CLINIC

커뮤니티

내 치아처럼 세심하게 치료하는 서울하이치과의원입니다.

SEOUL HI DENTAL CLINIC

커뮤니티

내 치아처럼 세심하게 치료하는 서울하이치과의원입니다.

SEOUL HI DENTAL CLINIC

커뮤니티

내 치아처럼 세심하게 치료하는
서울하이치과의원입니다.

홈버튼 아이콘

치료사례

본 정보는 임시회원 아이디 신청 후 열람하실 수 있습니다.

의료법에 의거, 해당페이지의 열람은 임시아이디 신청 후에 열람하실 수 있습니다.
이에 동의하시는 고객님께서는 아래의 입력란에 임시 아이디로 사용하실 아이디를 입력하시고
로그인 버튼을 클릭해주세요.
의료법상 불가피한 절차로, 많은 분들의 양해 부탁드립니다.

  • 임시 아이디

  • 1

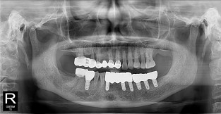
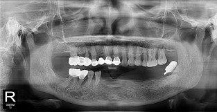
    하악

    치료기간 : 2021-11-30 ~ 2022-07-13

    1. 상기 x-ray 이미지 모두 동일한 해당 의료기관에서 진료한 환자입니다.
    2. 상기 x-ray 이미지 모두 동일 인물의 것입니다.
    3. 치료 전 이미지는 2021-11-30에 촬영했으며, 치료 후 이미지는 2022-07-13에 촬영하였습니다.
    4. 상기 x-ray 이미지 모두 동일 조건에서 환자분의 동의를 받아촬영되었습니다.

    * 임플란트 시술은 환자분의 상태(고혈압, 당뇨 등)에 따라 부작용이 있을 수 있으니, 반드시 전문의와 상담이 필요합니다.

    * 임플란트 수술 부작용
    : 수술 후 출혈, 교합, 통증, 붓기, 염증 등의 문제점이 발생할 수 있습니다.)

* 본 이미지들은 의료광고법을 준수하여 게시하였으며, <의료법 제 56조 제2항 제7호>에 의거하여 개개인의 신체 상태와 질병 진행도 등 여러 요인에 따라 치료 효과가 상이하기에 진료계획 또한 달라질 수 있음을 고지해드립니다.